Дентал

Стоматология в Орле

+7(4862)78-05-42
Режим работы: пн-пт 10-00 - 16-00;
сб-вс вых.

Лицензия выдана Департаментом здравоохранения и социального развития Орловской области №ЛО-57-01-000657 от 12.02.2014 года (бессрочно).

Периодонтит. Лечение.

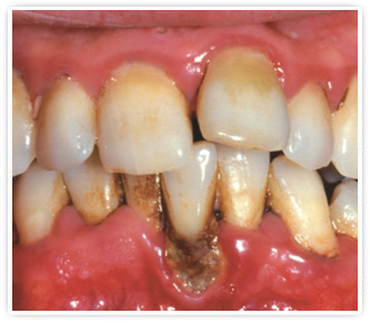
Лечение периодонтита в ОрлеПериодонтит — это воспалительные процессы в тканях (периодонте), находящихся возле корня зуба. Причина возникновения данного заболевания может быть вызвана травмированием периодонта во время раскусывания твердой пищи, либо вывихом или благодаря расколу зуба от удара, попаданию инфекции и возникновению многих других процессов.

Данный вид заболевания развивается моментально и может захватить период от двух часов до нескольких дней. Поэтому лечение периодонтита лучше начинать сразу же, как появятся первые признаки:

  • ноющая боль, которая при надавливании на зуб усиливается;
  • появляется ощущение, что больной зуб удлинился;
  • покраснение десны в области больного зуба;
  • появление припухлости.

Правильный диагноз может поставить только специалист-стоматолог после тщательного осмотра, а также рентгенологического исследования.

Периодонтит, лечение которого следует доверять только специалистам высокого уровня, требует обязательного вмешательства врачей-стоматологов, даже если ощущения боли утихнут. Если своевременно не остановить начавшийся процесс, то заболевание обретет несколько иной характер, а именно возникнет хронический периодонтит, лечение которого осуществляется более сложно.

Стоматологический кабинет «Дентал» поможет решить любые сложности, возникшие с зубами, в том числе избавиться от периодонтита.

При заболевании периодонтитом нашими специалистами проводятся необходимые обследования:

  • радиовизиограмма;
  • измерение у пострадавшего зуба длины каналов;
  • панорамная рентгенография.

Весь процесс обследования и лечения мы проводим только на высококачественном профессиональном оборудовании, что позволяет нам достигнуть отменных результатов за короткий период времени без появления неприятных ощущений у пациента. Мы осуществляем лечение острого периодонтита, а также других форм его проявления и это лишь часть процедур, проводимых нашим стоматологическим кабинетом.

Мы выполняем все необходимые мероприятия, позволяющие Вам сохранить зубы, восстановить прекрасную улыбку и забыть о зубной боли навсегда.

Наш первоклассный уровень обслуживания и профессионализм оценили многие посетители, и мы уверены, что придя к нам однажды, Вы останетесь довольны пройденными процедурами.


-->