Дентал

Стоматология в Орле

+7(4862)78-05-42

Лицензия выдана Департаментом здравоохранения и социального развития Орловской области №ЛО-57-01-000657 от 12.02.2014 года (бессрочно).

Статьи

Отбеливание зубов

Лечение кариеса в Орле

Отбеливание зубов Отбеливание зубов в домашних условиях, профессиональное отбеливание Из этой статьи Вы узнаете: как дома отбелить зубы...

подробнее

Онкология

Лечение кариеса в Орле

Онкология и кариес Лучевой кариес является распространенным осложнением лучевой терапии рака орофарингеальной зоны.

подробнее

Кариес

Лечение кариеса в Орле

Кариес — распространенное заболевание зубов, поражающее твердую зубную ткань. В результате возможно разрушение зубов, развитие гастритов, воспалительных заболеваний ЛОР-органов, другой патологии. Успешное лечение кариеса возможно на любой стадии, но рекомендуется начинать его как можно раньше.

подробнее

Пульпит

Лечение пульпита в Орле

Пульпит — острое или хроническое воспаление пульпы (мягкой ткани, состоящей из сосудов и нервов, заполняющей полость зуба). Причиной пульпита обычно бывает кариес, а также действие инфекции. Если диагностирован пульпит, лечение может проводиться консервативно или терапевтическим методом и хирургически.

подробнее

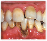
Лечение десен

Лечение пародонтоза в Орле

К наиболее распространенным заболеваниям десен относятся пародонтит, гингивит и пародонтоз. В результате воспаления страдают десны, костная ткань, оголяются корни и расшатываются зубы. Может сформироваться опухоль десны.

подробнее

Периодонтит. Лечение

Лечение периодонтита в Орле

Периодонтит — это воспалительные процессы в тканях (периодонте), находящихся возле корня зуба. Причина возникновения периодонтита может быть вызвана травмированием во время раскусывания твердой пищи, вывихом или расколом зуба от удара, попаданием инфекции. Периодонтит требует обязательного вмешательства врачей-стоматологов, даже если ощущения боли утихнут.

подробнее

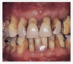
Удаление зубного камня

Удаление зубного камня в Орле

Зубным камнем называются твердые образования, которые находятся в области шейки зуба и не удаляются при обычной гигиенической чистке зубов. Удаление камня должно проводиться обязательно, потому что он раздражает слизистую оболочку десен и зубных альвеол, что приводит к появлению кровоточивости десен, особенно выраженной во время чистки зубов.

подробнее